Фильтр
70000040219799
Все способы восстановления зубов в 2026 г.
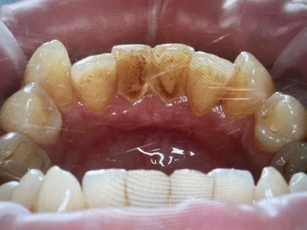
Ароматное мясо на шампурах, хрустящая корочка, свежее яблоко. Одно только описание будит аппетит и радость жизни, правда? Но что делать, когда зубов остается все меньше и меньше? Остается перетертая и мягкая еда? Ну нет! Сегодня для стоматологов почти нет нерешаемых проблем. Зубы выращивать еще не научились, но искусственные делают не хуже настоящих. Жевать вы сможете с удовольствием! Специально для вас ведущий стоматолог-ортопед разобрал все способы восстановления зубов. Варианты лечения мы привели по возрастанию качества и цены. Сначала простые и доступные по цене. В конце – самые передовые, но и подороже, конечно. Решение 1. Съемный протез  Если нет сразу нескольких жевательных зубов в разных местах или отсутствуют все зубы, их может заменить съемный протез. Крепится такой протез к здоровым зубам крючками, микрозамками или к десне “на присосках”.  К съемным конструкциям тяжеловато привыкнуть. Другие сопутствующие неудобства – страх, что протез выпадет в самый неподходящий момент,
Все способы восстановления зубов в 2026 г.
Показать еще
  • Класс
70000040219799
Нужно ли восстанавливать зубы срочно или можно подождать?
Что бывает, если вовремя не восстановить утраченный зуб? Как показывает практика, многие люди откладывают на длительный срок лечение зубов и тем более совсем не спешат их восстанавливать в случае утраты. Это связано с недостаточной осведомленностью о последствиях, со страхом врачей, с боязнью больших расходов. Однако упорное избегание стоматологов влечет за собой серьезные проблемы – если в первые месяцы после удаления не заняться восстановлением зуба, возникает истончение и атрофия костной ткани. А это уже не только эстетическая, но и функциональная проблема. После утраты зуба организм запускает процесс адаптации, который, к сожалению, играет против нас. Без естественной нагрузки кость в области удаленного зуба начинает уменьшаться в объеме – это называется атрофией. Чем дольше отсутствует зуб, тем сильнее разрушается костная ткань, а соседние зубы начинают смещаться в сторону пустого пространства, что может привести к искривлению прикуса. Кроме того, потеря даже одного зуба нарушает
Нужно ли восстанавливать зубы срочно или можно подождать?
Показать еще
  • Класс
70000040219799
Как выбрать стоматологию для имплантации без риска и переплат?
Многие считают, что стоматологические клиники необоснованно завышают стоимость своих услуг, и выбирают те клиники, где цена ниже. Однако на практике часто оказывается, что выбрав стоматологию с более низкой ценой, пациент платит больше, чем рассчитывал. Почему возникают доп. расходы при имплантации? В некоторых клиниках эконом-класса используют импланты и материалы низкого качества, после чего имплант отторгается. Не уделяется должное внимание диагностике и планированию имплантации. Умалчивается информация о необходимости дополнительных процедур и материалов. Мы часто слышим: «В другой клинике предложили дешевле - зачем платить больше?». Однако стоит обратить внимание на некоторые важные моменты: Предлагая пациентам одинаковые “минимальные” планы лечения без учета результатов диагностики и индивидуальных особенностей, через 3-5 лет пациенты получат десятки случаев отторжений. Иногда отторжение происходит сразу, но в более сложных случаях это может случиться через полгода и год, когда
Как выбрать стоматологию для имплантации без риска и переплат?
Показать еще
  • Класс
70000040219799
Учим чистить зубы с нуля, или классические ошибки пациентов
Вы уверены, что чистите зубы правильно? Даже самые ответственные пациенты совершают ошибки, из-за которых могут появиться проблемы. Разберём, как это исправить и чему стоматологи «ДентАРИЗ» учат своих пациентов. Частые ошибки: проверьте себя Часто дело не в старании и не в силе нажима, а в технике. Вот несколько неочевидных ошибок, с которыми мы сталкиваемся чаще всего: 1. Слишком много пасты Ошибка: выдавливаете «колбаску» пасты по всей длине щетки, как в рекламе. Почему это проблема: из-за избытка пены создается иллюзия чистоты — вы заканчиваете раньше, чем успеваете удалить налет. А сильный мятный вкус только маскирует проблему. Как правильно: взрослому достаточно порции размером с горошину. Меньше пены — дольше и тщательнее чистка. 2. Горизонтальные движения Ошибка: двигаете щёткой влево-вправо, как бы «пилите» зубы. Почему это проблема: такие движения не очищают участки у десны и между зубами. Более того, вы вдавливаете налет и остатки пищи в эти зоны. Как правильно: используйте
Учим чистить зубы с нуля, или классические ошибки пациентов
Показать еще
  • Класс
70000040219799
Вы курите? Эта статья может сохранить ваши зубы
Мы привыкли думать, что зубам вредят сладости и сухарики. Но главный враг — не сахар. Это никотин и табачный смолы. Табачный дым атакует полость рта комплексно и гораздо агрессивнее других факторов. И, что самое коварное, — часто без боли и видимых симптомов. Снаружи зубы могут выглядеть нормально, а внутри уже развиваться пародонтит, пришеечный кариес и массивные зубные отложения, под которыми незаметно разрушаются ткани. Если пустить всё на самотёк, это может привести к расшатыванию, а в тяжелых случаях — к потере зубов. Но есть и хорошая новость: даже после 10–20 лет курения зубы и десны можно вернуть к здоровому состоянию — если действовать грамотно и последовательно. Если вы курите уже не первый год, наверняка замечали: эмаль темнеет, дыхание меняется, десны становятся чувствительнее. Это не просто косметика — это системные проблемы: 1. Никотин сужает сосуды. Десны получают меньше кислорода и питательных веществ, их защитные силы снижаются. Из-за этого гингивит (воспаление десен)
Вы курите? Эта статья может сохранить ваши зубы
Показать еще
  • Класс
70000040219799
Болят и кровоточат дёсны? Как остановить воспаление за 1-2 визита и почему это сэкономит вам десятки тысяч рублей
Вы чистите зубы и видите на щетке следы крови. Пытаетесь откусить хрустящее яблоко, но останавливаетесь из-за боли или неприятных ощущений в деснах. Первый порыв — купить ополаскиватель «для воспаленных десен» или пасту «от кровоточивости». Кажется, что это просто временная проблема, которая пройдет сама. На самом деле, это не проблема, а симптом. И его появление говорит о том, что ваши привычные методы ухода за зубами перестали справляться. Кровоточивость и болезненность — это внешние проявления гингивита, поверхностного воспаления десны. Его причина — бактериальный налет, который скапливается в труднодоступных местах (под десной и между зубами). Со временем мягкий налет, как известковая накипь в чайнике, минерализуется и превращается в зубной камень. Эта твердая структура становится идеальным «плацдармом» для бактерий, откуда они атакуют ткани, окружающие зуб. Пока воспаление ограничивается десной — это гингивит. Он полностью обратим. Но если камень и налет не удалять, воспалительный
Болят и кровоточат дёсны? Как остановить воспаление за 1-2 визита и почему это сэкономит вам десятки тысяч рублей
Показать еще
  • Класс
70000040219799
Как одна 20-минутная процедура защитит зубы вашего ребенка на долгие годы (и сэкономит нервы и бюджет)
Для нас, стоматологов «ДентАРИЗ», здоровье детей — это не просто работа. Мы сами родители и понимаем: главная задача — не просто лечить, а предотвращать проблемы. Сегодня мы расскажем об одном из самых эффективных и разумных методов профилактики кариеса у школьников — герметизации фиссур постоянных зубов. Было: Это не сложно, не страшно, а результат измеряется годами спокойствия. Стало: Это не сложно, не страшно, а результат — годы жизни без кариеса, без страха перед стоматологом и без лишних трат на лечение. Когда у ребенка прорезываются постоянные коренные зубы (чаще всего это происходит в 6-8 лет), родители могут не заметить главной опасности. Поверхность этих зубов не гладкая — она покрыта глубокими и узкими бороздками-фиссурами. Именно в них, как в ловушку, забиваются остатки пищи. Даже самая старательная чистка щеткой часто не может вычистить эти углубления до конца. Постоянная бактериальная «плантация» в фиссурах — это прямая дорога к так называемому «фиссурному кариесу». Он ра
Как одна 20-минутная процедура защитит зубы вашего ребенка на долгие годы (и сэкономит нервы и бюджет)
Показать еще
  • Класс
70000040219799
Как получить белоснежную улыбку без вреда для эмали. Объясняют стоматологи
Вы наверняка видели эти видео: «Смешай соду с перекисью — и вот она, белоснежная улыбка за копейки!». Вы — современный и грамотный человек, и у вас могла возникнуть мысль: «А почему бы и нет? Это же логично». Логика здесь действительно есть. Но она не учитывает, что зубы — это живая ткань, а не легко заменяемая деталь. За так называемыми «простыми» рецептами скрываются химические процессы, которые могут серьезно навредить. Давайте разберемся, как работает безопасное отбеливание и почему доверять его стоит только профессионалам. Эмаль зуба — самая твердая ткань в организме, но и у нее есть уязвимые места. Абразивные частицы соды, подобно наждачной бумаге, оставляют на ее поверхности микроповреждения. Это не очищает эмаль, а делает ее шероховатой и беззащитной. Агрессивные компоненты, например, перекись высокой концентрации, без всякой защиты проникают глубже эмали — в дентин, основной слой зуба. В стоматологии «ДентАРИЗ» мы часто помогаем пациентам справляться с последствиями таких эксп
Как получить белоснежную улыбку без вреда для эмали. Объясняют стоматологи
Показать еще
  • Класс
70000040219799
Секрет белой улыбки, о котором молчат блогеры
Хотите белоснежную улыбку, как на видео у блогеров, но боитесь испортить зубы? Вы правы. Не стоит ставить эксперименты на себе. В «ДентАРИЗ» мы видим, к чему приводит домашнее отбеливание: стертая эмаль, ожоги десен и зубы, которые остро реагируют на холодное и горячее. Последствия таких «лайфхаков» лечатся долго и дорого. Есть другой путь — профессиональное отбеливание. Оно комфортное, безопасное, с заметным и долгосрочным результатом. Всего за один визит вы получите: Врач выбирает метод, подходящий именно вам. FLASH — для яркого результата за один визит. ZOOM — для максимально бережного и долгосрочного эффекта. А эндоканальное отбеливание — для случаев, когда кажется, что зуб уже невозможно отбелить, например, после удаления нерва. Правильное отбеливание — это белоснежная улыбка без риска для здоровья зубов и уверенность, которая остается с вами надолго. Запишитесь на бесплатную консультацию. Врач оценит состояние зубов, расскажет о стоимости и подберет оптимальное решение. Ссылка дл
Секрет белой улыбки, о котором молчат блогеры
Показать еще
  • Класс
Показать ещё