Фильтр
70000025633045
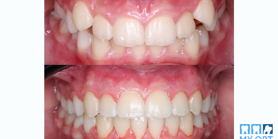
Пациентка с аллергией на металл: как мы провели ортодонтическое лечение без брекетов
Иногда в моей практике бывают пациенты с нарушением функции сустава, сложными патологиями и ограничениями, которые усложняют выбор методов лечения. Я, как лечащий врач-ортодонт, хочу рассказать вам о клиническом случае пациентки с дисфункцией сустава и скученностью зубов, у которой наблюдалась аллергия на металл, из-за чего брекеты ей были просто противопоказаны. Жалобы пациента Пациентка обратилась ко мне с выраженными болями в области височно-нижнечелюстного сустава. Она жаловалась на дискомфорт при жевании, болезненные ощущения при движении нижней челюстью и ощущение усталости мышц. Кроме этого, ее беспокоила скученность зубов и неэстетичное положение верхнего правого клыка. Улыбка пациентки до лечения -> Диагностика Я провела комплексную диагностику, включающую фотопротокол, цифровое сканирование, анализ КЛКТ и ТРГ. На этапе диагностики и подготовки к лечению выяснилось, что у пациентки есть выраженная аллергическая реакция на металл (никель), а это полностью исключает использован
Пациентка с аллергией на металл: как мы провели ортодонтическое лечение без брекетов
Показать еще
  • Класс
70000025633045
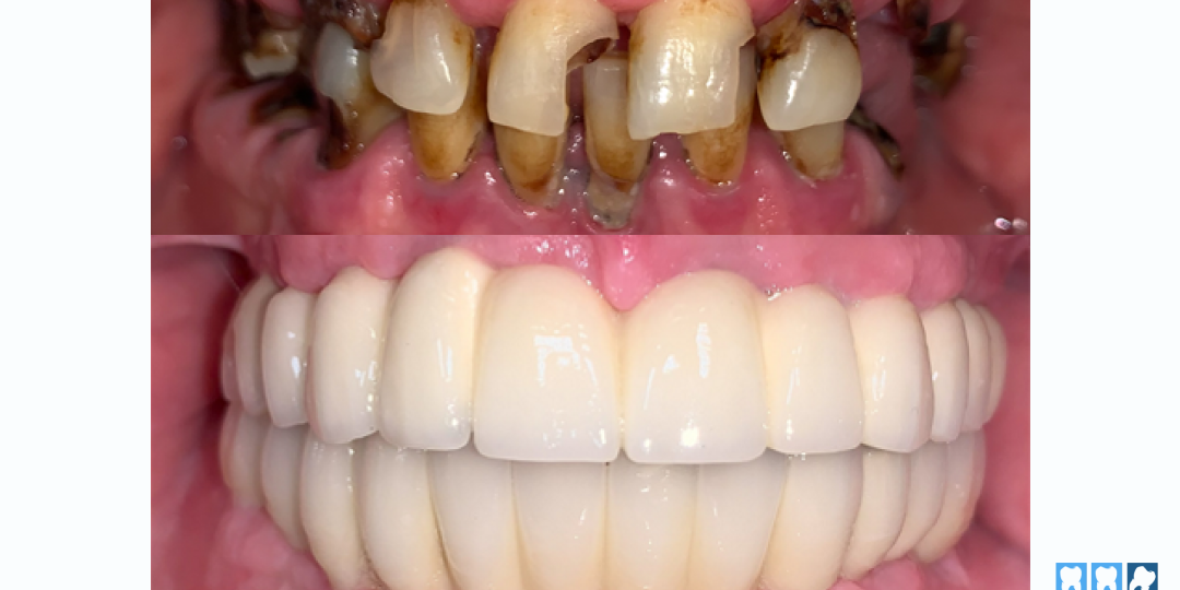
Как мы исправили чужую ошибку и вернули радость жизни пациенту: сложный случай из практики
Иногда за словами «мне просто трудно жевать» скрывается целая история с нарушенной функцией сустава, тревогой перед каждым приёмом, усталостью и слезами от неудачных протезов, установленных в других клиниках. Я хочу рассказать вам о пациентке, чей путь к полноценной жизни без боли в суставе оказался очень непростым. Как мы исправляли ошибки других врачей и что из этого вышло. Жалобы пациента Ко мне обратилась пациентка полтора года назад с жалобой на боль в суставе. Она пришла ко мне как к гнатологу. На первый взгляд проблема выглядела как ортопедическая, но диагностика показала совершенно другую картину, требующую серьезного междисциплинарного подхода. История пациента. Почему она пришла к нам после другой клиники До обращения к нам у пациентки стояли две большие мостовидные конструкции, от клыка до клыка на обеих челюстях. Пластиковые временные мосты не обеспечивали жевательную функцию челюсти. Имплантаты стояли в боковых сегментах 1–4 и с 5–8 по секции, но в области 45-го зуба был о
Как мы исправили чужую ошибку и вернули радость жизни пациенту: сложный случай из практики
Показать еще
  • Класс
70000025633045
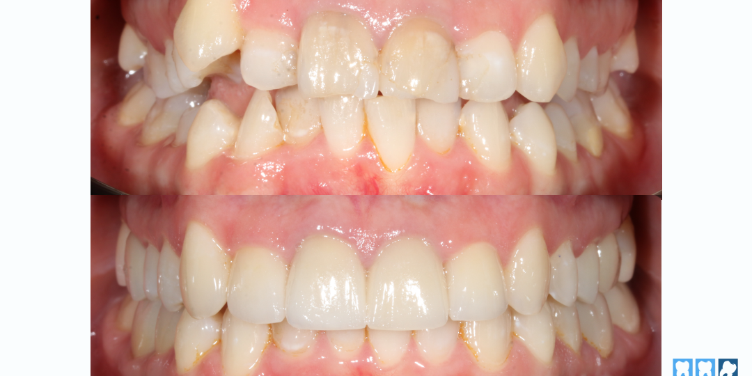
Пациентка не хотела носить брекеты — как мы вылечили прикус без них. Реальный случай
В работе стоматолога важно не только правильное и комплексное лечение, но и обеспечить комфорт самого пациента. Для меня, как для врача-стоматолога, ортодонта, гнатолога важно не просто исправить прикус, а понять, что именно волнует пациента, услышать его потребности и предложить оптимальное решение. В этом клиническом случае расскажу о пациентке, для которой важным было не только добиться идеальной улыбки, но и сохранить её эстетику в процессе лечения. Жалобы пациента Ко мне обратилась пациентка 23-х лет с жалобами на эстетику улыбки. Девушка работает в сфере организации ивент-мероприятий, постоянно общается с медийными личностями и является лицом крупного цветочного бренда. Поэтому установка брекет-системы не рассматривалась — важно было сохранить естественный вид улыбки в процессе лечения. Фото пациентки до лечения -> Диагностика и особенности прикуса Во время обследования у пациентки были обнаружены нарушения работы височно-нижнечелюстного сустава: щелчки при открывании рта, голов
Пациентка не хотела носить брекеты — как мы вылечили прикус без них. Реальный случай
Показать еще
  • Класс
70000025633045
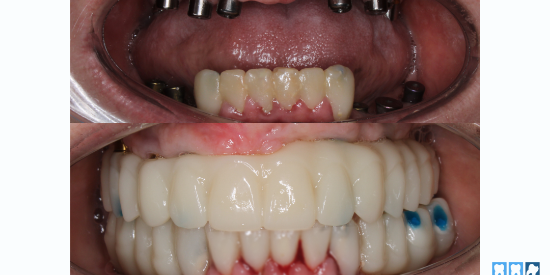
Комплексное восстановление обеих челюстей на 11 имплантатах: сложный клинический случай
В клинику MY ORT часто обращаются пациенты, чья ситуация с зубами кажется просто безнадежной: разрушенные зубы, хроническое воспаление, невозможность нормально питаться и даже улыбаться. Я, челюстно-лицевой хирург, имплантолог, хочу представить реальный клинический случай, в котором примерно за один год мы с ортопедом, помогли пациенту пройти путь от полной потери зубов до естественной, функциональной и красивой улыбки. Этот клинический случай показывает, что вернуть комфорт, уверенность и качество жизни возможно в любом возрасте — главное, поверить в себя и довериться профессионалам. Ко мне обратился мужчина 43-х лет с жалобами на разрушение и подвижность зубов обеих челюстей. Он испытывал трудности при жевании, дискомфорт. На момент обращения в полости рта наблюдались ярко выраженные множественные очаги инфекции и воспалительные процессы. Осмотр полости рта и компьютерная томография показали, что большинство зубов разрушены и не подлежат восстановлению. Также отмечались очаги хрониче
Комплексное восстановление обеих челюстей на 11 имплантатах: сложный клинический случай
Показать еще
  • Класс
70000025633045
Зуб, сломанный разводным ключом: как мы восстановили его за 1 час. Реальный случай
Вы когда-нибудь задумывались, как всего одно неловкое движение может стоить вам улыбки? Иногда ко мне на приём приходят пациенты с такими историями, которые просто невозможно придумать, но на практике встречается чаще, чем можно подумать. Я, врач-стоматолог, ортодонт, гнатолог и терапевт, хочу рассказать реальный случай с моим пациентом, и о том, как я смогла всего за один час вернуть улыбке прежний вид — без боли, без анестезии и без сложных процедур. Ко мне обратился пациент около 30 лет с переломом переднего зуба. На работе он случайно ударил по зубам разводным ключом, пытаясь что-то открыть. В результате у него откололся край верхнего резца. Выслушав пациента, я заверила его, что всё будет в порядке, и приступила к осмотру зуба. Осмотр показал горизонтальный перелом коронковой части без вскрытия пульпарной камеры. Зуб остался живым и реагирует на температурные раздражители (в течение 3–5 секунд). На снимках КТ изменений в периапикальных тканях обнаружено не было, распространения по
Зуб, сломанный разводным ключом: как мы восстановили его за 1 час. Реальный случай
Показать еще
  • Класс
70000025633045
Как мотивация ребёнка 11 лет помогла исправить дистальный прикус без сложных аппаратов. Клинический случаи
Иногда для успешного лечения не нужно сложное оборудование, а достаточно лишь правильной диагностики, доверительных отношений и ответственности пациента. Я, врач-стоматолог, ортодонт, гнатолог, хочу рассказать вам об одном клиническом случае - маленькой девочке, чей интерес к лечению помог избежать установки сложных конструкции для коррекции прикуса и подчеркнул, как важны доверие и сотрудничество между врачом и пациентом. Ко мне на консультацию обратилась девочка 11 лет вместе с мамой по рекомендации стоматолога-терапевта. Основными причинами обращения стали затруднённая гигиена полости рта и эстетические жалобы — неровные зубы и неправильное положение клыков на верхней челюсти. На момент начала лечения я использовала классические методы комплексной диагностики — снятие оттисков, изготовление гипсовых моделей и их анализ. Сейчас аналогичные исследования мы выполняем уже в цифровом формате, но суть остается прежней — точная оценка каждого параметра прикуса и роста челюстей. Дополнитель
Как мотивация ребёнка 11 лет помогла исправить дистальный прикус без сложных аппаратов. Клинический случаи
Показать еще
  • Класс
70000025633045
Скрытый кариес перед брекетами. Реальный кейс врача-стоматолога
Иногда пациенты приходят на приём с уверенностью, что «всё хорошо»: ничего не болит, не беспокоит, жалоб нет, зубы визуально в полном порядке. Но именно в таких ситуациях современная диагностика может показать то, что скрыто от наших глаз. Так было и в моем клиническом случаи с пациенткой. Пациентка обратилась просто на осмотр перед ортодонтическим лечением — планировала установку брекетов. На первый взгляд всё было идеально, но… Пациентка обратилась ко мне как к врачу–стоматологу общей практики для осмотра перед установкой брекет-системы. Каких-либо жалоб не было, пациентку ничего не беспокоило: боли, чувствительности или эстетических дефектов тоже не было. На первый взгляд, зубы были полностью здоровые. Однако в таких «спокойных» случаях важно проводить диагностику для обнаружения проблемы и постановке диагноза, что я и сделала! Для оценки состояния зубов и планирования ортодонтического лечения было проведена КЛКТ (конусно-лучевая компьютерная томография). На снимках я обнаружила с
Скрытый кариес перед брекетами. Реальный кейс врача-стоматолога
Показать еще
  • Класс
70000025633045
Дисколорит и вторичный кариес. Возвращаем красивую улыбку в 50+ лет
Красивая улыбка играет важную роль в нашей жизни — особенно с возрастом. Сколы старых пломб и изменение цвета зубов нередко становятся причиной неуверенности и дискомфорта. В этом клиническом случае я — врач-стоматолог, ортопед, расскажу, как мы помогли пациентке старше 50 лет вернуть красивую улыбку и восстановить жевательную функцию передних зубов. Будет интересно! Пациентка обратилась к нам с жалобами на неудовлетворительный внешний вид улыбки. Скол старых пломб передних зубов верхней челюсти и изменение цвета зубной эмали (дисколорит). Зубной дисколорит — это изменение цвета зубов, при котором они теряют естественную белизну. Причиной могут быть пищевые и табачные пигменты, травмы, приём лекарств, а также некоторые заболевания. Налёт обычно легко убирается профессиональной чисткой зубов у стоматолога-терапевта, а вот изменение цвета изнутри лечится сложнее, потому что затрагивает глубокие слои зуба. При осмотре полости рта я обнаружил наличие сколов старых пломб, изменение цвета зу
Дисколорит и вторичный кариес. Возвращаем красивую улыбку в 50+ лет
Показать еще
  • Класс
Показать ещё